Клапаны сердца выполняют важную гемодинамическую функцию. Доктора привыкли воспринимать любое изменение в структуре или работе клапана как патологию, заболевание с которым необходимо работать. Конечно, такие проблемы как фиброз, склероз, ревматическое поражение клапана часто приводят к нарушению его функции и могут потребовать инвазивной коррекции. Но всегда ли регургитация на клапанах является проблемой, требующей лечения и пристального наблюдения?
Существует вариантная анатомия, например, наросты Ламбла или гипертрофия узелков Аррениуса на полулуниях аортального клапана. Узелки и наросты увеличивают занимаемый объем полулуния, при этом нарушая конгруэнтность поверхности створок или полулуний клапана. В итоге закрытие осуществляется не полностью, и возникает легкая недостаточность. Именно такие случаи часто обнаруживаются у детей и не требуют специального лечения или пристального наблюдения.
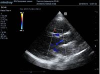
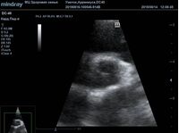
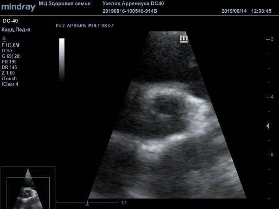
Найти их очень просто, достаточно сечений LAXLV (длинная ось) и SAXBASE (короткая ось). Специфические крупные шаровидные структуры – узелки Аррениуса - на кончиках полулуний клапана обнаружил ультразвуковой прибор
Mindray DC-40. В цветовом допплере без труда определяется аортальная регургитация легкой степени. Оценить её можно в CFM по соотношению JW/LVOT.
Приборы среднего класса прекрасно справляются с этой задачей. Чтобы использовать возможности прибора на максимум необходимо уменьшить поле обзора (Front of view - FOV), тогда увеличится частота кадров и качество картинки при поиске мелких структур. Также частота кадров увеличивается при снижении уровня persistence, что актуально для детского возраста и высокой частоты сокращения сердца.