Глиосаркома – согласно классификации ВОЗ от 2016 года, является первичным (в большинстве случаев) новообразованием IV степени злокачественности и наиболее редким гистологическим вариантом глиобластомы, характеризующаяся идентичным агрессивным ростом, резистентностью к химио- и лучевой терапии и имеющая худший прогноз. Данный тип опухоли представлен бинарной клеточной структурой, глиальной и саркоматозной (мезенхимальной\соединительнотканной), при этом глиальный компонент идентичен классической глиобластоме, саркоматозный - по мнению ряда авторов является следствием злокачественной трансформации пролиферирующих опухолевых сосудов, однако существуют цитогенетические и молекулярные доказательства моноклонального происхождения как глиального, так и мезенхимального компонентов.
Частота встречаемости глиосарком составляет от 1% до 8% от всех злокачественных глиом, пик встречаемости 4-6 декады жизни с преобладанием мужской популяции, с медианой выживаемости около 9 месяцев. Глиосаркомы имеют общие и практически не отличимые визуализационные характеристики в сравнении с классическими глиобластомами и в большинстве случаев диагноз устанавливается после иммуногистохимического исследования. Стоит отметить, что глиосаркома обладает более высокой тенденцией к экстракраниальному метастазированию (наблюдаются в 30% случаев), последние включают висцеральные органы и спинной мозг.
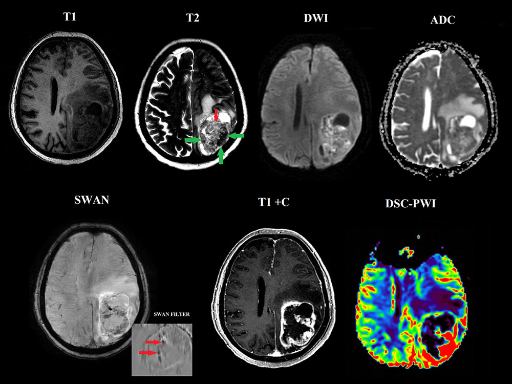
МРТ исследования головного мозга и DSC-перфузия. В левой теменной области интрааксиальное кистозно-солидное образование, с близким прилежанием к ТМО, окруженное выраженной зоной перифокального отека и масс-эффектом. При анализе Т2 последовательности, данная опухоль характеризуется наличием двухкомпонентной структуры, гипоинтенсивной более плотной (зеленые стрелки) и гиперинтенсивной (красная стрелка) клеточной. Отмечается выраженное и гетерогенное накопление парамагнетика опухолью на постконтрастных изображениях, а так же наличия диспластически расширенных сосудов с кровоизлияниями в структуре данной массы на последовательностях SWAN. На перфузионных картах образование демонстрирует высокие значения относительного мозгового кровотока опухоли (превышающие нормальные значения в 7-8 раз).
Глиосаркома (послеоперационный препарат), окраска гематоксилином и эозином, увеличение х10. Глиальная часть демонстрирует выраженный ядерный полиморфизм и клеточную атипию. Саркоматозная часть представлена веретеновидной формы клетками с ретикулиновыми волокнами (соединительная (мезенхимальная) ткань).
Маркер GFAP (специфичный глиальный фибриллярный кислый белок) – демонстрирует характерную выраженную экспессию в глиальной части опухоли (желтая стрелка) и полное отсутствие экспрессии в саркоматозной (красная стрелка). Кроме того в данном микропрепарате стоит отметить отчетливое преобладание саркоматозной части над глиальной.
N.В.! В зависимости от количества саркоматозной и глиальной ткани отмечаются вариации, при этом если саркоматозная ткань преобладает, то опухоль подобна метастазу (хорошо отграниченная и плотная), в случае превалирования астроцитарного(нейроглиального) компонента опухоль идентична классической глиоблатоме (Louis DN, Ohgaki H).
Глиосаркома должна быть включена в дифференциальный ряд любой опухоли, которая, по-видимому, является интрааксиальной, но при этом «интимно» прилежит к твердой мозговой оболочки и демонстрирует гетерогенные визуализационные характеристики на T2-взвешенных изображениях.