Стабильно, как по расписанию - один раз в два-три месяца, девочка подросток попадает в дневной стационар. На карте стационарного больного чередуются всё те же диагнозы – дискинезия желчевыводящих путей или гастрит с дуоденитом. Одни и те же анализы, одни и те же процедуры, каждый раз катаральные явления на слизистой желудка по ФГДС да перегородки желчного пузыря при ультразвуковом исследовании, к которым и приписывают дискинезии. Очередной заход по кругу по стандартам КСГ/МЭС.
Но в этот день все поменялось. Старая добрая «алока», обладающая единственным серо-шкальным режимом, ушла на списание, установили новый ультразвуковой аппарат. На экране, при запуске прибора, крупными буквами гордо загорелся логотип Mindray. На обрамлении красовались серебристые буквы - наклейки, обозначающие номер модели –
DC-70. Транспортную полиэтиленовую заглушку ещё не сняли.
После «старичка» кнопок на клавиатуре стало ощутимо больше. Брюшная полость. Пора опробовать новые режимы. Щелкнула кнопка "Color". Левая доля печени загорелась красными и синими линиями, картируя кровоток по сосудам. Но одна из линий выделялась, переливаясь всеми цветами радуги, при этом пульсируя. Висцеральные ветви аорты – чревный ствол.
Конвексный изогнутый датчик наклоняется в эпигастрии, располагая аорту горизонтально, так, чтобы сосуды-ветви «смотрели» вертикально в трансдьюсер.
Чревный ствол на экране прибора снова запылал ярким пламенем, элайзинг эффект во всей красе, шкала Найквиста превышена. Кишечника рядом с сосудом не было, артефактам не от куда взяться.
Сделай глубокий выдох. Теперь глубоко вдохни.
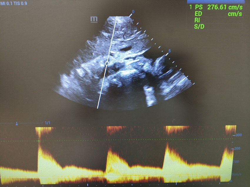
Цветовая карта color бокса, сопряженно со вдохом и выдохом, как по нажатию выключателя показывала и скрывала факел элайзинга. Какая же там скорость? Кнопка PW (Pulsewave, или импульсно-волновой допплер) издала щелчок. Линия стиринга, по всем законам физики и технике исследования расположилась строго по ходу сосуда, никакой угол коррекции при исследовании ветвей аорты не допускается. Контрольный объем погрузился в точку истока чревного ствола и медленно начал движение от аорты в ствол. Прибор зашумел в такт пульсации артерии, озвучивая спектр потока. PSV 98 см/сек… 100 см/сек… 150 см/сек..., похоже максимум.
- А теперь глубокий выдох. И не дыши!
Повторяем маневр, контрольный объем скользит в чревный ствол. Прибор переходит на визг, ручка Scale вправо - увеличиваем шкалу и пульсация затихает. Калипер поднимается на вершину систолического пика, PSV 276 см/сек. Максимум ли? Переходим в режим постоянно волнового CW-допплера, фокус в зону истока чревного ствола. Да, максимум.
- Похоже, Маш, тебя все-таки вылечат, сейчас позвоню твоему педиатру.
В заключение: Синдром Данбар (транзиторная абдоминальная ишемия). Компрессия чревного ствола ножками диафрагмы. Перегородки желчного пузыря – вариант нормальной анатомии.
